Investigadores revelan que heridas generadas por vaporizar son similares a las generadas por inhalar gas mostaza - Chilevisión
Publicidad
03/10/2019 17:53

Investigadores revelan que heridas generadas por vaporizar son similares a las generadas por inhalar gas mostaza

"Se parece a una exposición a un químico tóxico", aseguró el patólogo Brandon T. Larsen tras los resultados obtenidos por un grupo de investigadores de la Mayo Clinic, donde analizaron 17 casos de pacientes afectados por el uso de vaporizadores.

Publicado por carlosfpipa

Una extraña enfermedad relacionada al uso de vaporizadores se ha estado presetando en Estados Unidos, donde más de 800 personas se han visto afectadas y al menos 17 han muerto.

Si bien las autoridades aún no están seguras sobre qué causa el "pulmón vaporizado" ("vape lung" como es conocido en EE.UU.), algunas teorías apuntan a los aceites que se usan en las cargas que inhalan los usuarios.

Un equipo de la Mayo Clinic analizó muestras de tejido de pulmón de 17 personas que han sufrido este problema de salud, cuyos resultados fueron publicados en la New England Journal of Medicine.

Este intento por dar respuestas a este letal brote en Norteamérica arrojó resultados que impactaron a los científicos: heridas que lucían similares a las que se encuentran en personas que han estado expuestas a gas mostaza u otros venenos.

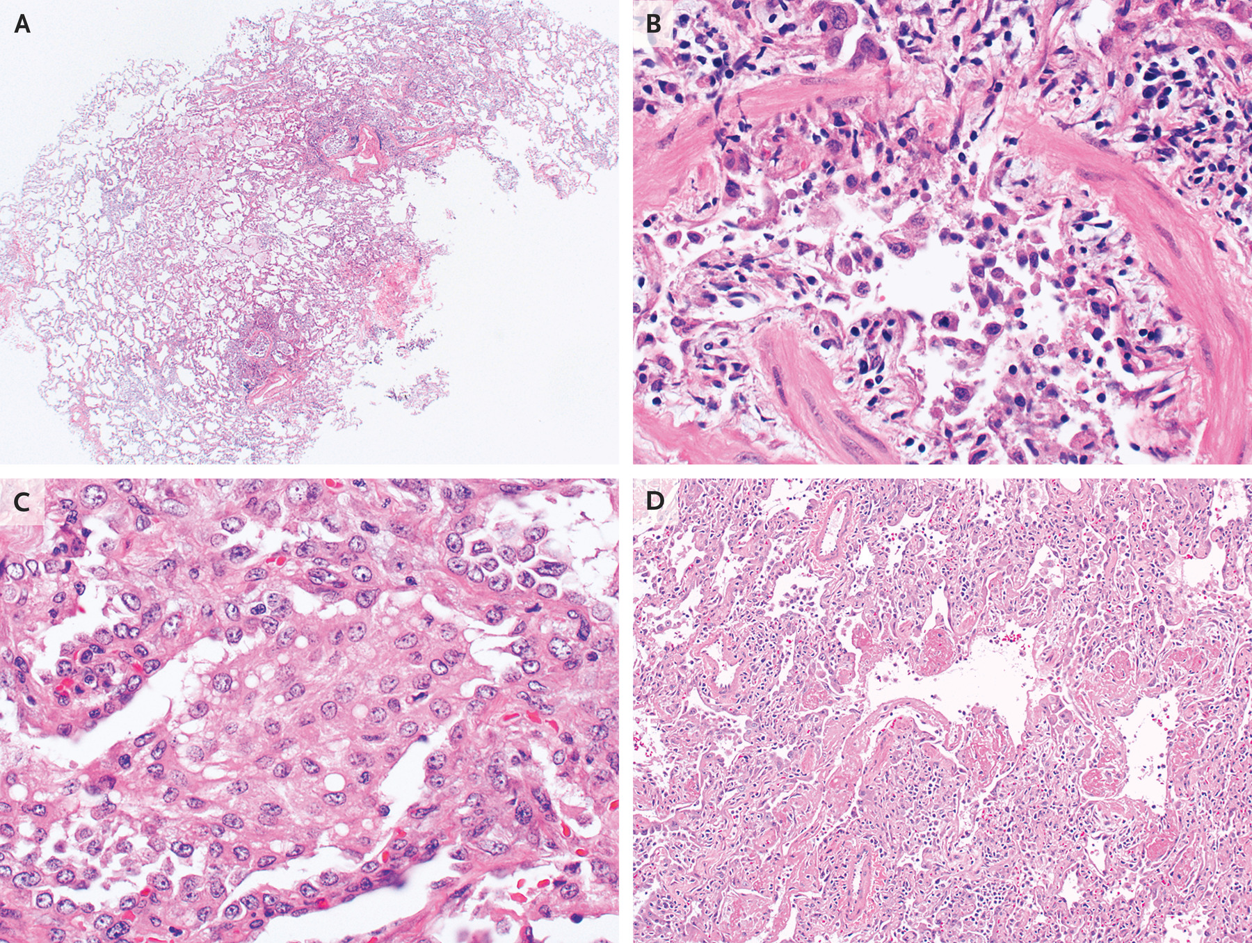
Histopatología de la lesión pulmonar aguda asociada con vapeo. The New England Journal of Medicine.

"Los 17 casos mostraron un patrón de herida en el pulmón que se parece a una exposición a un químico tóxico, humo de químico tóxico o heridas por quemaduras químicas", dijo el patólogo Brandon T. Larsen a The New York Times.

Además, agregó que "para ser honesto, esto luce como los cambios que podrías encontrar en un desafortunado trabajador en un accidente industrial donde un gran barril de químicos tóxicos se derraman, y esa persona está expuesta a los humos tóxicos y resulta con quemaduras químicas en sus vías respiratorias".

Por otro lado, Larsen agregó que si bien no todos los usuarios de vaporizadores sucumben ante los daños de estas heridas, de todas formas podrían presentar problemas de por vida a raíz de estas.

Recordemos que en nuestro país las autoridades de Salud se encuentran trabajando en una ley para normar la venta y el uso de cigarrillos electrónicos, la que se espera sea presentada a fines de octubre de este año.