"Suponemos que el aumento sostenido de la carga en ese músculo se debe al peso de la cabeza que se desplaza hacia adelante con el uso prolongado de las tecnologías modernas", expresó el Dr. Shahar de University of the Sunshine Coast.
Las generaciones más jóvenes parecen estar desarrollando "cuernos" en la parte posterior de sus cráneos debido al uso extendido de tecnología como teléfonos inteligentes y tablets.
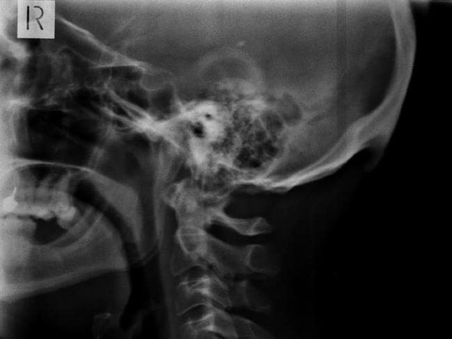
Dos investigadores australianos hicieron el extraño descubrimiento mientras examinaban cientos de radiografías de personas entre 18 y 30 años, observando que casi la mitad había desarrollado crecimientos óseos que normalmente se pueden ver en personas ancianas que han mantenido una mala postura a lo largo del tiempo, generalmente encorvada.
Lee también: Delgado oso polar caminó más de 1.500 kilómetros buscando comida y llegó a la ciudadEncontrar este crecimiento craneal con forma de "cuernos" preocupó a los australianos, quienes atribuyeron la formación a las tecnologías modernas. Los hallazgos del Dr. David Shahar y el Profesor Asociado Mark Sayers de la University of the Sunshine Coast, dejaron ver los resultados de su investigación a fines del año pasado.

El estudio sostiene que se están formando estos cuernos en base al análisis que de 218 radiografías de personas de 18 a 30 años de edad. Determinaron que de ellas el 41% había desarrollado un bulto óseo de 10 a 30 milímetros en la parte posterior de su cráneo.
Pruebas adicionales, incluidas las imágenes por resonancia magnética, descartaron la posibilidad de que los crecimientos óseos fueran el resultado de la genética o una lesión.
Te puede interesar: No para de crecer: Burro gigante está a punto de destronar al actual Récord Guinness"Esta es una evidencia de que los procesos degenerativos musculoesqueléticos pueden comenzar y progresar en silencio desde una edad temprana", dijo el Dr. Shahar.
"Es importante comprender que, en la mayoría de los casos, los espolones óseos miden unos pocos milímetros individuales y, sin embargo, encontramos proyecciones de 10 a 30 milímetros en la población joven estudiada", comentó el investigador.
Los hallazgos ofrecen una advertencia sobre el impacto de una mala postura , especialmente en los jóvenes, debido al uso prolongado del teléfono y los dispositivos.