Fueron sus familiares quienes lo obligaron a que fuera a un dentista. Tras una radiografía, detectaron que tenía un ameloblastoma.
Un adolescente de 15 años de Hangzhou, China, estuvo por un año soportando un fuerte dolor de muela sin acudir a un dentista, pero las consecuencias le pasaron la cuenta.
Según informan los medios locales, en un comienzo los dolores eran leves, pero con el tiempo fueron empeorando. Fue en ese momento que su familia lo obligó a ir a un dentista, a fines de agosto pasado.
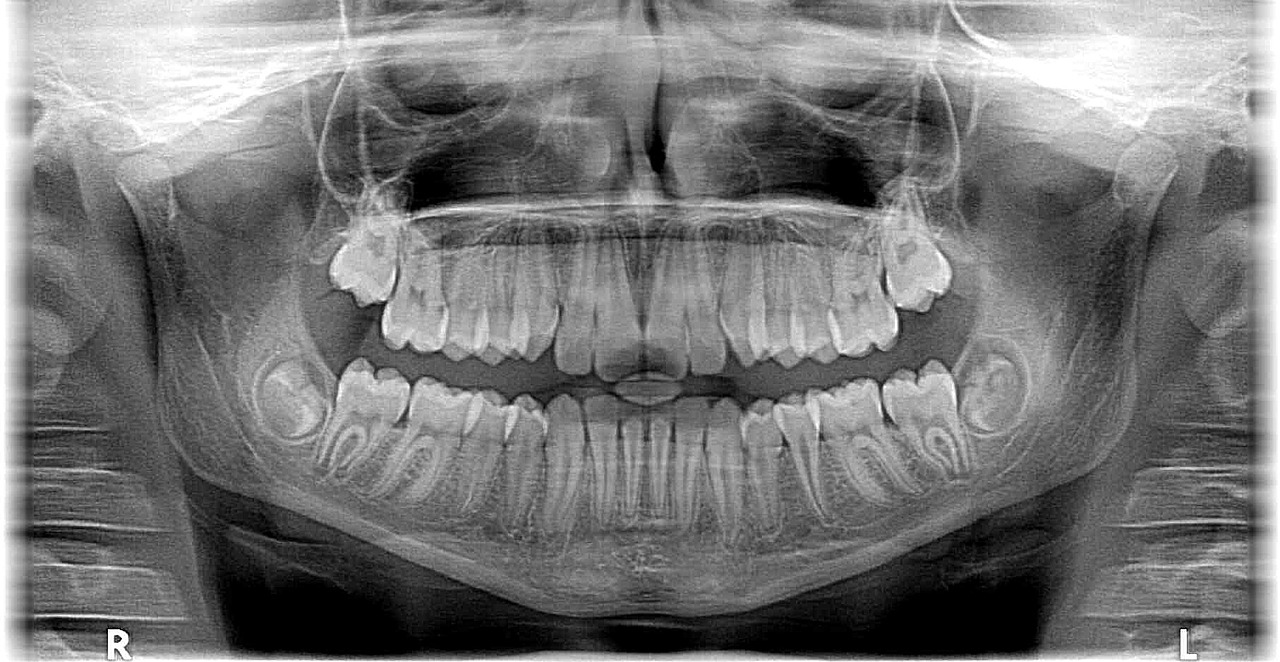
Tras una radiografía 3D los especialistas detectaron un ameloblastoma que provocó un agujero en la mandíbula inferior y, además, distintas lesiones en el hueso.
Lee también: Fue al hospital por una simple tos, pero cayó en coma y le amputaron sus extremidades para salvarla
El ameloblastoma es un tumor benigno, poco frecuente y que se desarrolla generalmente en la mandíbula, cerca de los molares. Comienza en las células que forman el revestimiento del esmalte protector de los dientes, tiende a aumentar su tamaño lentamente y causa anormalidades en la cara y mandíbula. Además, por la proliferación anormal de las células, se infiltra y destruye los tejidos óseos.
Lee también: Ladridos de un perro despertaron a su amo que estaba en un coma inducidoLos especialistas debieron someter a cirugía al adolescente para extirpar el tumor y recuperar la zona dañada.
Actualmente se encuentra en recuperación y los especialistas esperan que los implantes dentales lo ayuden a comer de manera normal.